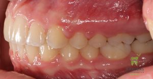
Impacted upper right Canine with space opening and guided eruption

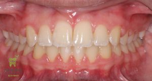
Class II malocclusion treatment correcting crowding and occlusion (bite changes)

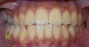
Initial and Final photos correcting a deep bite

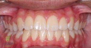
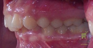
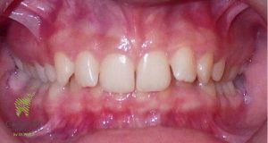
Initial and Final photos correcting crowded maxillary arch for an adult patient

Surgical case of midline discrepancy and class III malocclusion treated non-surgically. Patient was thrilled to achieve excellent results without surgery.

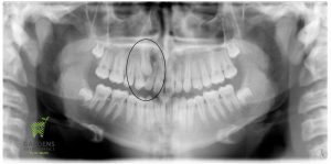
Initial and Final Panoramic X-rays showing an impacted canine (upper right) erupted in place



